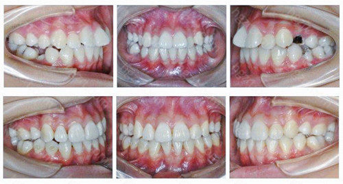
2023-03-25正畸拔牙4颗有危险吗?来看牙齿矫正拔牙利与弊详细分析!
做牙齿矫正的朋友都很害怕一件事:正畸拔牙!每次面诊,只要听到医生建议拔除四颗正畸牙,就怯的慌。那么,正畸拔牙4颗有危险吗?今天就带...
2023-03-25佛山牙齿矫正哪个医院好?盘点佛山矫正靠谱的牙科医院
佛山牙齿矫正哪个医院好?有这个烦恼的小伙伴看过来,盘点佛山矫正靠谱的牙科医院啦~1 佛山登特口腔登特口腔在北京、深圳、福州、厦门等地...
2023-03-25重庆哪里矫正牙齿便宜又好?来看重庆牙齿矫正医院推荐
重庆哪里牙齿矫正便宜又好?问当地市民后,整理出了这份重庆牙齿矫正医院推荐,如果你还在迷茫不知道选择哪家医院做矫正,那就一定不能错过这篇文章了!...
2023-03-252023年牙齿矫正价格表 各地区整牙收费标准一览
美丽的牙齿会给人加分不少,凸嘴、地包天、牙齿不整齐的问题困扰了很多人,于是越来越多人开始选择牙齿矫正。那么大家一定想知道关于价格的问题,来看看各地区整牙收费标准一览。...
2023-03-25对面的女孩看过来!长沙名气好的双眼皮医生名单公布啦!
虽然不是人人都有双眼皮,但是通过美容整形手术做双眼皮和天然生成的也没有太大的不同,而且有些做出来的双眼皮要比自身生长的还好看。那么今日小编就带大家一起看看湖南长沙名气好的...
2023-03-25网友力推的上海丰胸好医院,还有隆胸医生名单公布!
近期有很多姐妹都对上海隆胸好医院以医生信息非常关注,今天小编就来对上海受认可程度高,做隆胸手术有特点的的医美整形机构进行分享,需要的记得收藏。...
2023-03-25还在问苏州隆鼻哪家医院做的好,当地人做鼻子都选这三家!
苏州都有哪些整形医院技术靠谱,做隆鼻手术特点鲜明?今天小编就来公布苏州做鼻整形排名前三的好医院详细信息,都是当地人认可的隆鼻医院哦~拿走不谢~...
2023-03-25姚乃君医生在北京哪里?探讨姚乃君速提美提升价格为什么贵?
想在北京做面部提升手术,打听到姚乃君医生技术不错,想问问大家知道姚乃君医生在北京哪里吗?姚乃君速提美提升价格为什么贵啊?...
2023-03-25谁知道重庆哪里丰胸比较好,盘点重庆排名前三隆胸好医院!
隆胸手术不同于眼鼻整形,对人体创伤比较大,对医生技术要求也更加严格,今天小编就来对咨询较多的重庆隆胸好医院进行公布,这三家在重庆做假体隆胸都受欢迎!...
2023-03-25想在重庆做鼻子求推荐医院,重庆隆鼻好医院医生排名看这里!
想做隆鼻手术,重庆当地的姐妹都没有靠谱好医院介绍?带你了解重庆隆鼻排名不错的好医院详细信息!...
2023-03-25临沂矫正歪鼻推荐TOP8技术口碑双在线医院,感兴趣的可以收藏
目前临沂矫正歪鼻推荐TOP8技术口碑双在线医院昨日已更新,上榜的有临沂希尔思医疗美容、临沂时玖医疗美容门诊部、临沂瑞丽美容医院、临沂兰瑟儿医疗美容等,此榜单由大数据生成,由编辑小程整理的临沂矫正歪鼻......
2023-03-25珠海自体软骨移植隆鼻整形医院公立三甲排名靠前名单,都是正规的好医院
2023年珠海自体软骨移植隆鼻整形医院公立三甲排名靠前名单刚更新,上榜的有珠海陆达美容医院、珠海韩妃医疗美容医院、珠海华生医院中医美容科、珠海永熙医疗美容门诊部、珠海市中西医结合医院整形美容科、珠海......
2023-03-25深圳膨体垫鼻基底整形医生公开微信,深圳膨体垫鼻基底整形医生公开
很多人对于自己的鼻部轮廓不是特别满意,因此会选择通过鼻部整形的方法来进行调整,在整形的过程当中好的隆鼻医生技术水平是尤为主要的,在深圳地区就有着众多家医美机构,院内当中也有着技术精湛的整形医生,接下来......
2023-03-25兰州肥厚鼻尖整形前十名私立医院盘点汇总,一手资料全新发布
2023年兰州肥厚鼻尖整形前十名私立医院盘点汇总昨日已更新,上榜的有兰州华美美容诊所、兰州兰天医疗美容门诊部、兰州绣医疗美容诊所、兰州金城医疗美容门诊部、兰州三爱堂整形美容门诊部、兰州市城关区东方医......
2023-03-25嘉兴鼻缺损整容医院推荐五家实力派技术可靠,都是实力强的专业机构
当前嘉兴鼻缺损整容医院推荐五家实力派技术可靠刚更新,上榜的有嘉兴第二医院烧伤整形科、嘉兴海宁时光医疗美容医院、嘉兴张建强医疗美容诊所、嘉兴时光整形美容、武警浙江总队嘉兴医院、嘉兴市中医院、嘉兴曙光美......
2023-03-25昆明鼻综合整形医院看前五公立三甲机构实力与评价,口碑实力好选择
当前昆明鼻综合整形医院看前五公立三甲机构实力与评价已更新,上榜的有昆明惟美医疗美容门诊部、昆明鱼美人医疗美容诊所、昆明娇点医疗美容医院、昆明雅妍医疗美容诊所、昆明心颜婕熹卡医疗美容门诊部、昆明市西山......
2023-03-25南宁硅胶隆鼻整容医院排行榜8强,南宁悦星医学美肤机构名气大
目前南宁硅胶隆鼻整容医院排行榜8强刚更新,上榜的有南宁南国·伊莱美医疗美容、南宁潘多拉医疗美容、南宁DR梦莎医疗美容、南宁千美子整形美容诊所、南宁悦星医学美肤、南宁密斯整形、南宁你美医疗美容门诊部、......
2023-03-25东莞鼻延长整形医院排行榜前五强(TOP5)被狂推,这些医院效果自然美观
最近东莞鼻延长整形医院排行榜前五强(TOP5)被狂推更新了,上榜的有东莞市叶子医疗美容门诊、东莞整形美容医院、东莞韩美医疗美容整形医院、东莞市老干部医学整形美容中心、东莞知美整形医院、东莞浩然医疗美......
2023-03-25长沙手术缩鼻头价格大全,2023年手术缩鼻头价格为3443元-51933元
长沙手术缩鼻头价格大全,2023年手术缩鼻头价格为3313元-50461元,上榜公布的医院有:长沙三和医疗整形美容医院、长沙美之峰医疗美容机构、长沙雨花岱高门诊部、长沙三和医疗美容门诊部、长沙张中美......
2023-03-24西安西美鼻翼缩小术专家简介 谁做的好 有哪些特点
肥大的鼻翼拉低整体的面部颜值,改善不理想的鼻翼问题。更多爱美者选择医学整形鼻翼缩小术得到有效的改善,塑造挺翘鼻子。...
2023-03-24长沙妇科整形比较好的医院推荐 艺星许亚宏 娄芳阴唇漂红 恢复少女粉嫩
随着年龄增长及性生活次数的增多,阴唇会由少女时期的粉色慢慢加深,想要恢复少女的粉嫩感只能求助于阴唇漂红。...
2023-03-24长春十大正规整形医院 五家高人气医院名单出炉 韩一 中心等上榜
每一个人都有自己的追求,看脸拼颜值是这个时代目前很常听见的话题。投其所好也许会遇见更好的自己,在长春整形美容医院就是让很多人爱美者找到变美的归宿。...
2023-03-24上海整形医院大全 口碑医美机构名单公布 附地址详情
整形是变美的一种方式,可以针对自身缺陷制定不同的方案,更直接,也更高效,在爱美者中热度居高不下。...
2023-03-24上海天大整形是几级医院 做鼻整形怎么样 歪鼻矫正多少钱
鼻子占据面部C位,可见其重要性,如果自身歪斜对整个面部五官比例的影响极大,为了让鼻子回归正途,变得笔直富有美感,歪鼻矫正十分必要。...
2023-03-24北京疤痕修复哪里好 北京南加疤痕修复专业吗 告别疤痕重拾自信
烧伤、外伤、手术等都会造成难看的疤痕,让外在形象大跌,使爱美者十分苦恼,甚至产生自卑心理,其实只要到正规的疤痕修复医院进行治疗,效果还是比较理想的。...
注:本站信息和数据仅供参考,任何信息均不能作为诊断及医疗的依据,本站不承担由此引起的法律责任。
温馨提示:整形有风险,请谨慎选择。未满18周岁的青少年不宜做整形手术!
蜀ICP备19040417号-5Copyright © 2023-美啊美整形