2023-03-27求推荐大连哪个整形医院靠谱?通过大连有名的整形医院排名来了解
想在大连做医美项目,不了解大连都有哪些靠谱的整形医院。想多面诊几家对比一下!求小编推荐大连有名的整形医院。那跟着小编一起来盘点盘点大连哪家整形医院靠谱?...
2023-03-27福州整形医院十大排行榜新鲜出炉,都是福州正规的整形医院
福州整形医院十大排行榜新鲜出炉,都是福州正规的整形医院。为求美的集美们选择一家靠谱且正规的整形医院,福州整形医院各自的亮点在哪里,想在福州变美的姐妹可以做个参考哦!...
2023-03-27海口整形医院排名前三的医院公布,华美、韩美凭实力上榜
今日份小编分享海口排名前三的整形医院,不管是眼睛、鼻子、胸还是抗衰老,在榜上这些医院中随意选,都不会让你失望呢!其中华美、韩美在海口本地的名气都很大呦!...
2023-03-27汇总绵阳有名的整形医院,这几家均是绵阳正规的整形医院
不少求美者都想了解绵阳地区有哪些整形医院更正规,其实绵阳地区正规的医院有很多,今天为大家提供绵阳整形医院排名,瞅瞅上榜的有没有你中意的。...
2023-03-27长沙隆胸哪家医院做的好?俘获芳心的正规医院原来是这几家
对于隆胸,你非常关心的事是什么?“手感”、“价格”、“材料”、“safe”、“大小”、“医生技术”?每个人看重的点都不一样。那么关于长沙隆胸哪家医院做的好?...
2023-03-27沈阳杏林美容医院削骨技术怎么样 是正规有资质的吗
削骨手术是属于医美的四级手术项目,整形医院必须是有三或三以上资质才可以进行,因为手术的复杂程度和风险大小较高。其他四级手术还有磨骨...
2023-03-27郑州哪家医院抽脂技术好?汇总郑州前五名口碑好技术高的整形医院名单
关于郑州哪家医院抽脂技术好?小编通过实地探访调查加上真实的顾客网上评价汇总出了郑州前五名口碑好技术高的整形医院名单,快收藏起来!...
2023-03-25收藏的北京维乐口腔种植牙价格表,北京种牙价格都在这里啦。
收藏的北京维乐口腔种植牙价格表,北京种牙价格都在这里啦。北京做种植牙价格主要包括以下几个方面:一、牙根疗费:2~3万,二、片切骨粉费...
2023-03-25合肥牙科医院排名前十哪个好?求种植牙好又便宜的口腔医院!
坐标合肥,想要做种植牙手术,请问合肥牙科医院排名前十哪个好?求推荐合肥种植牙好又便宜的口腔医院!如果你也正在找这方面的信息,那么本...
2023-03-25要说西安哪家医院牙科好?西安中诺口腔医院种植牙口碑还是不错的。
要说西安哪家医院牙科好?西安中诺口腔医院种植牙口碑还是不错的。想要种植牙的地方多,需要选择正规的医院种植牙的坏处:当患者在种植牙以...
2023-03-25了解即拔即种植牙的利与弊,看即刻种植和即刻负重的区别
很多人都觉得传统种植牙的周期比较长,想做即拔即种的那种,但是对即拔即种的技术却不是很了解,今天就让我们来了解一下。即拔即种的种植牙...
2023-03-25韩国种植牙登腾和奥齿泰哪个好?从优势价格对比看清两者有啥区别
韩系种植体因为价格便宜性能稳定,因此不少患者种牙时就会选择韩韩国的种植体,韩国种植体种类有不少,常见有的登腾、奥齿泰、美格真、dio...
2023-03-25即刻种植牙好还是3月后种植好?从牙槽骨条件帮你分析清楚!
因为牙齿缺失的问题而开始考虑做种植牙手术,但是你知道即刻种植牙好还是传统的3个月后做种植牙好呢?关于这种令人纠结的问题,其实解决起...
2023-03-25韩国登腾种植牙3900元一颗,为什么这么便宜?使用寿命如何?
每到口腔医院做种植牙活动时,韩国进口登腾种植体一定会做活动款,一般情况下会是种一颗牙3900元。这么便宜的价格,你是否会有疑惑:便宜的...
2023-03-25美国皓圣和德国icx哪个好?种植牙美国的好还是德国的好?
关于种植体品牌,我们都知道欧美系的种植体系统在质量方面会更好一些,而且临床使用率高,经得起时间的考验。但是也会有些许纠结,美系皓圣...
2023-03-2526岁做了种植牙我好后悔!植牙骨粉那一步太痛苦了!
你一定想不到,26岁还是非常年轻的年纪,我已经开始做种植牙了!那经历实在不堪回首啊!尤其是植骨粉那一步,太疼了,脸肿了几天才消下去,...
2023-03-25做了种植牙我不想活了 种牙过程实在太痛苦了
做种植牙简直就是我这辈子痛苦不堪的回忆,我给大家分享一下我的种牙经历,希望能给还未种牙的患者避个雷,不要像我一样那么...
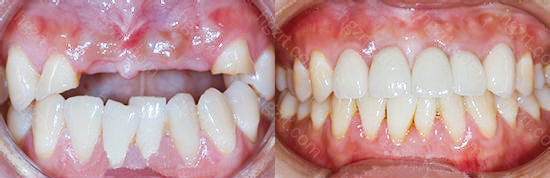
2023-03-25公布福州口腔医院种植牙费用,看种一颗牙到底需要多少钱
种植牙的费用问题一直是大家比较关心的问题,那么今天就来了解下福州口腔医院种植牙费用,看看种一颗牙到底需要多少钱。韩国种植体作为价格...
2023-03-25盘点德国种植牙品牌有哪些?附2023种植牙收费价目表
进口种植牙品牌你们都有多少了解呢?小编就今天就盘点近期提的比较多的德国种植牙品牌,来给大家详细分析德国种植牙都有哪些品牌,价格怎么样?...
2023-03-25即拔即种与传统种植牙的比较,看看有什么区别
即刻种植牙和传统种植牙都是修复牙齿缺失的一种手段,今天我们就来了解下即刻种植牙好还是传统种植牙?先来看看即拔即种与传统种植牙的比较...
2023-03-25地包天牙齿矫正的适宜年龄是多少?矫正价格很贵吗
想知道地包天牙齿矫正的适宜年龄是多少,以及地包天矫正价格吗?那你一定要认真看完这篇。 地包天不仅影响孩子牙齿发育,还会影响整体...
2023-03-25深圳做牙齿矫正哪家医院比较好?这里集合了深圳好的口腔医院排名。
深圳做牙齿矫正哪家医院比较好?这里集合了深圳好的口腔医院排名。深圳下面就几家医院做详细的介绍吧,深圳这边口腔医院很多,医生更是不计...
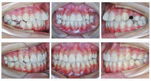
2023-03-25牙齿矫正真的可以改变脸型吗?正畸科普要收藏
很多想做牙齿矫正的小伙伴或许都有一个疑惑,牙齿矫正真的可以改变脸型吗?其实牙齿会影响人的骨骼发育,做牙齿矫正也是会改变脸型的。...
2023-03-25牙齿矫正后容貌变化,真的会变好看吗?
现在,越来越多的人会因为对美有更高的追求,选择修饰脸型。时常能听到,某某明星通过牙齿矫正让脸型变小、变美。那么,牙齿矫正后的容貌变化,真的会变好看吗?...
2023-03-25韶关矫正牙齿大概需要多少钱?公布2023韶关牙齿矫正收费标准
牙齿矫正的品牌多种多样,价格也不尽相同。那么在韶关矫正牙齿大概需要多少钱?今天就来公布2021韶关牙齿矫正收费标准,让大家看牙心里也有...
注:本站信息和数据仅供参考,任何信息均不能作为诊断及医疗的依据,本站不承担由此引起的法律责任。
温馨提示:整形有风险,请谨慎选择。未满18周岁的青少年不宜做整形手术!
蜀ICP备19040417号-5Copyright © 2023-美啊美整形